•Plasmacytes are non-granular cells which are not normally found in peripheral blood. they play an important role in synthesizing protein fractions of blood for fighting diseases.
•Plasma blast
•PRO plasmacyte
•plasmacyte
Plasma blast
It is different from other blasts in the bone marrow.
Nucleus is oval and slightly accentric.2-5 fairly large nucleoli. Chromatin network is reticulated and purplish in color. A cartwheel like nuclear HALO OR Para chromatin is present.
Pro plasmacyte
•Nucleus has 1-2 large nucleoli.
•Nucleus-cytoplasm ratio is 2:1.
•Cytoplasm is less basophilic perinuclear halo is quite distinct. Size is 14-22 um in diameter.

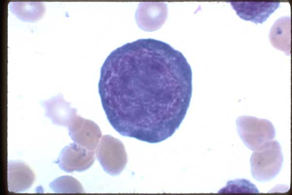
Mature plasmacyte
•Cell size is 9-20 um in diameter.
•Nucleus cytoplasm ratio is 1:2.
•No nucleoli, cytoplasm stains deep blue some vacuoles may be present in cytoplasm.
•Perinuclear halo is like pro plasmacyte.
Plasmacyte development
The nucleus has a dense chromatin pattern and no nucleoli. Cytoplasmic appearance varies: 1) abundant highly basophilic cytoplasm and a perinuclear clear zone “flame” cells: large amounts of eosinophilic material that may be confined within 1 large vacuole or spread throughout the cytoplasm or extend beyond the cell membrane forming an eosinophilic halo around the cell; 3) Mott/Russell body cells: multiple intracytoplasmic vacuoles (grape-like accumulations that may be clear, basophilic, or eosinophilic).
•As for cytologic description, except the cytoplasm is eosinophilic. Flame cells and Mott cells may also be seen. Chromatin clumping gives rise to a “clockface” or “cartwheel” appearance. The nucleolus may be indistinct or small. Some examples may be seen in cytoplasmic maturation. They have an eccentrical large nucleus (round, ovoid, indented, or sickle shaped) with indistinct or small nucleoli. Cytoplasmic appearance varies.
Development of thrombocytes
•Megakaryoblast
•Promegakaryocyte
•Mature megakaryocyte
•Platelets or thrombocytes
Megakaryoblast
•Cell size is 25-40 um in diameter.
•Nucleus is oval with 2-6 nucleoli and occupies 90 % of cell space.
•Cytoplasm is small and has irregular perimeter.
•Cytoplasm is extremely basophilic, but few colorless patches may be found.
Promegakaryocyte
•Cell size is 25-50 um in diameter.
•Nucleus is irregular in shape and may have many large lobes.
•Cytoplasm is more than stage1.
•1-2 nucleoli may be seen but not very clear.
•Some azurophilic granules are present.
Mature megakaryocyte
•Maturation of megakaryocyte occurs by a synchronous endomitotic nuclear replication.
•Number of nuclei increases in multiple of two.
•At 8 nuclei stage replication of the nucleus ceases no further growth of the cell.
•Cell size is 30-100 um.
•Cytoplasm stains gray blue and contains azurophilic granules.

Platelet formation
•Micro vesicles are formed in the cytoplasm which fuse together to form plate let demarcation membranes.
•4000 platelets from one megakaryocyte.
•10 days are taken for the formation of platelets from stem cells.
Platelets
•2-5 um in diameter.
•Two distinct areas in a platelet:
1.Central granulomere
2. peripheral halo mere
•Life span is 7-10 days.
•Spend 24-36 hours in spleen after being released from bone marrow.
•150 -400 x10’9 /lit
